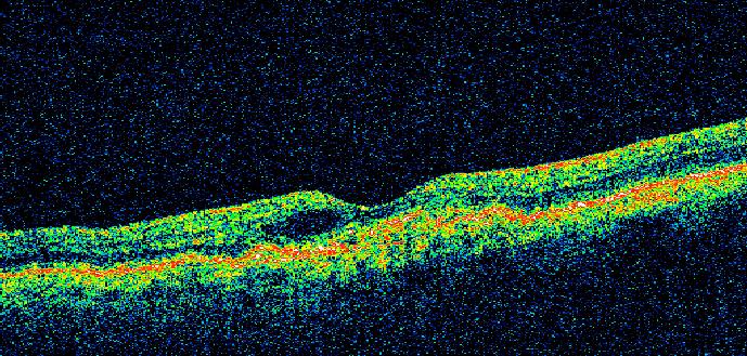
Santo Domingo, RD. – La Academia de Ciencias de la República Dominicana, a través de su Comisión de Ciencias de la Salud, anunció la proyección del video titulado “Enfermedades maculares y su impacto”, una iniciativa orientada a educar y sensibilizar a la población sobre las afecciones que afectan la mácula y su repercusión en la calidad de vida.
La actividad contará con los comentarios especializados de la Dra. Niurka Leonor y el Dr. Juan Ubiera, quienes abordarán los principales aspectos clínicos, preventivos y sociales relacionados con las enfermedades maculares. La moderación estará a cargo del Dr. Herbert Stern, coordinador de la Comisión de Ciencias de la Salud de la institución.
El evento se realizará el martes 24 de febrero de 2026, a las 6:30 de la tarde, en la sede de la Academia de Ciencias, ubicada en la calle Las Damas No. 112, esquina calle El Conde, Zona Colonial, en Santo Domingo.
Con esta iniciativa, la Academia reafirma su compromiso con la promoción del conocimiento científico y la orientación a la ciudadanía en temas de salud pública, especialmente en lo relativo a la prevención y detección temprana de enfermedades que pueden comprometer la visión.


Leave feedback about this